Dental Implant Bridges In Burke VA

Imagine regaining confidence that comes with a radiant, natural smile.

Dental implant bridges are a long-lasting, natural-looking solution for replacing multiple missing teeth by anchoring artificial teeth securely to dental implants.

dental implant bridge burke va
dental implant bridge

What Are Dental Implant Bridges?

Dental implant bridges are an advanced restorative dental solution designed to replace several missing teeth in a row.

Unlike traditional bridges that rely on adjacent healthy teeth for support, implant bridges are anchored directly to dental implants that are surgically placed into the jawbone. This creates a stable and durable foundation for the artificial teeth, ensuring a strong and natural-looking result.

They are tailored to match the shape, size, and color of your natural teeth, seamlessly restoring both function and appearance. Dental implant bridges not only enhance your smile but also help maintain jawbone health by stimulating the bone and preventing further loss associated with missing teeth.

What is the Procedure for Getting Dental Implant Bridges?

The process of getting dental implant bridges typically involves multiple steps over several months to ensure the best possible outcome.

Initially, a thorough consultation and examination are conducted, including X-rays and possibly 3D imaging, to assess the health of your jawbone and determine the ideal placement for the implants. Once the treatment plan is finalized, the first step is the surgical placement of the implants into the jawbone, which is performed under local anesthesia or sedation for your comfort.

After the implants are placed, a healing period called osseointegration follows, during which the implants fuse with the jawbone to create a strong foundation. This process usually takes several weeks to a few months, depending on individual healing rates. Once the implants have fully integrated, abutments are attached to the implants, and a custom-made dental bridge is fabricated to fit perfectly with your natural teeth. Finally, the dental bridge is securely anchored to the abutments, completing the restoration and providing a durable, functional, and aesthetically pleasing solution to missing teeth. Regular follow-ups and good oral hygiene are essential to maintain the long-term success of your dental implant bridges.

    Schedule A Dental Visit










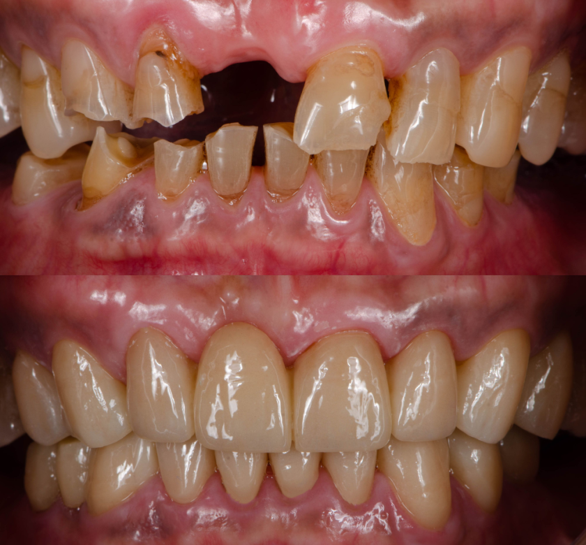
    before and after dental implant bridge

    Are You A Candidate for Dental Implant Bridges?

    Dental implant bridges can be an excellent solution for individuals with one or more missing teeth who are looking for a stable and long-lasting restoration.

    Ideal candidates typically have good overall health as well as sufficient bone density in the jaw to support the implants. It’s important to have healthy gums and a commitment to maintaining excellent oral hygiene and regular dental visits to ensure the success of the procedure.

    However, certain factors like untreated gum disease, smoking, or chronic health conditions such as diabetes may affect candidacy. A comprehensive evaluation by your dentist or oral surgeon is essential to determine if dental implant bridges are the right choice for you.

    Frequently Asked Questions

    Answering your common questions about dental implant bridges and their benefits.

    How long do dental implant bridges last?

    With proper care and maintenance, dental implant bridges can last for many years, often up to 15 years or more. Regular dental check-ups and good oral hygiene habits are key to maximizing the lifespan of the implants.

    Is the procedure painful?

    The placement of dental implant bridges is typically done under local anesthesia, making the procedure itself relatively painless. Some discomfort or soreness may be experienced during the recovery period, which can usually be managed with over-the-counter pain medications.

    What is the recovery time for dental implant bridges?

    The recovery time can vary depending on individual circumstances but generally takes a few weeks for initial healing. Full integration of the implants with the jawbone, known as osseointegration, may take several months. Your dentist will guide you through the process and monitor your recovery progress.