Periodontal Gum Surgery in Burke VA

Restore Your Gums, Renew Your Oral Health.

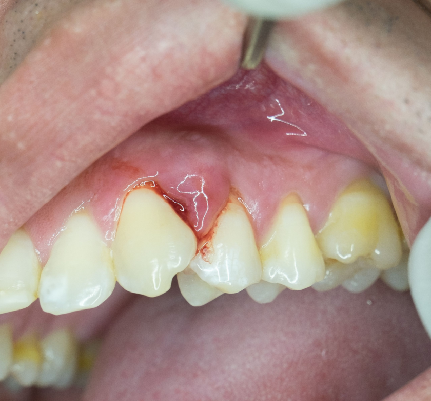
Periodontal gum surgery is a dental procedure aimed at treating advanced gum disease by removing diseased tissue and reshaping the gums to promote healing. It helps restore gum health, prevent further damage, and improve overall oral hygiene.

patient experiencing pain due to periodontal gum surgery
patient receiving periodontal gum surgery in burke va

What Is Periodontal Gum Surgery?

This procedure often involves cleaning the roots of the teeth to remove bacteria and buildup, which can contribute to gum disease.

Depending on the severity of the condition, surgical techniques such as flap surgery, bone grafts, or tissue regeneration may be used to restore the gums and surrounding structures.

The goal of periodontal gum surgery is not only to save teeth at risk due to gum disease but also to enhance the overall health of your gums and improve your oral health for the long term.

Proper aftercare and maintenance, including regular dental checkups and improved daily hygiene habits, are essential for achieving lasting results.

What Are The Benefits of Periodontal Gum Surgery?

Periodontal gum surgery offers a wide range of benefits that can significantly improve oral health and quality of life.

One primary advantage is the prevention of further gum disease progression, which helps protect the teeth, gums, and underlying bone from additional damage. By addressing severe gum infections and reducing inflammation, the surgery restores the structural stability of the gums and teeth, ensuring they function effectively. Additionally, periodontal surgery can improve the aesthetic appearance of the gum line, which is especially important for individuals who experience gum recession or uneven gums.

Another key benefit is the promotion of better oral hygiene. By eliminating deep pockets of bacteria between the gums and teeth, it becomes easier to maintain proper cleaning through brushing and flossing, reducing the likelihood of future infections. Furthermore, preserving natural teeth and avoiding tooth loss are critical outcomes, as healthy teeth contribute to overall oral functionality and maintain facial structure. For many patients, undergoing periodontal gum surgery provides both a health benefit and a boost in confidence, enabling them to smile, eat, and speak comfortably.

    Schedule A Dental Visit










    patient with periodontal gum disease burke va

    What Is The Process For Periodontal Gum Surgery?

    Periodontal gum surgery typically involves several carefully planned steps to ensure the best outcomes for the patient.

    The process begins with a thorough consultation and assessment by a periodontist to determine the severity of the gum disease and to create a personalized treatment plan. Before the procedure, the patient’s teeth and gums are thoroughly cleaned to remove plaque and tartar, often through a deep cleaning process called scaling and root planing.

    During the surgery, the periodontist will make small incisions in the gum tissue to access the roots of the teeth and the underlying bone. This allows them to remove bacteria, infected tissue, and any debris. If necessary, irregular surfaces of the bone may be smoothed to reduce areas where bacteria can collect in the future. Once the affected areas are cleaned and treated, the gums are repositioned and sutured to encourage proper healing and reattachment to the teeth.

    After the procedure, patients typically receive detailed aftercare instructions, which may include prescribed medications, recommended oral hygiene practices, and follow-up appointments to monitor healing. While recovery times vary, most patients experience significant improvements in gum health and overall oral well-being with proper care and maintenance post-surgery.

    Frequently Asked Questions

    Answering your common questions about periodontal gum surgery and its benefits.

    What is periodontal gum surgery and why is it necessary?

    Periodontal gum surgery is a dental procedure aimed at treating gum disease and its effects on the gums and surrounding bone. It becomes necessary when non-surgical treatments, such as deep cleaning or antibiotics, are not sufficient to manage advanced periodontal disease. The surgery helps to remove bacteria, reduce inflammation, and restore gum health.

    Is periodontal gum surgery painful?

    The procedure itself is typically pain-free as local anesthesia is administered to numb the area. Patients may experience some discomfort or minor soreness during the recovery period, but this can usually be managed with prescribed pain medications and proper aftercare.

    How long does it take to recover from periodontal gum surgery?

    Recovery times vary depending on the complexity of the surgery and the individual’s healing response. Most patients begin to notice improvements within a few days and achieve full recovery in a few weeks. Following aftercare instructions carefully will help speed up the healing process.

    Are there risks or complications associated with periodontal gum surgery?

    While periodontal gum surgery is generally safe, some potential risks include swelling, bleeding, infection, or sensitivity in the treated areas. These complications are rare and can often be prevented by adhering to postoperative care guidelines and attending follow-up appointments with your dentist or periodontist.